右卵巢是rf 协和疑难︱第68例:临床表现为血性心包积液

小编头像

小编

管理员

发布于:2025年05月05日

143 阅读 · 0 评论

协和疑难︱第68例:临床表现为血性心包积液

第68例:临床表现为血性心包积液

Case 68: bloody pericardial effusion in teenager

张博为 薛毓琦 方理刚 林雪

作者单位: 100730 中国医学科学院 北京协和医学院 北京协和医院心内科

通信作者: 林雪,电子信箱:linxuepumch@qq.com

患者女,14岁,主因"间断胸痛、心悸、憋气3月余,意识丧失1次"于2019年10月24日入院。患者3个月前高空坠落(1层楼高,下铺有软垫),双手着地,当时未诉胸痛、头晕、心悸等不适。此后间断出现胸痛,深呼吸时加重,持续数分钟后可自行缓解,熬夜或晨起多见,伴心悸、憋气,无发热,无咳嗽、咯血,未予重视。2个月前因左肩疼痛于当地医院行针灸,期间出现意识丧失,牙关紧闭,无抽搐、大小便失禁,经救治(具体不详)40 min后意识恢复,自觉心悸、胸闷,伴上腹部疼痛。前往当地医院就诊,血常规大致正常,肝肾功能正常,D-二聚体10 522 ng/ml,甲状腺功能、类风湿因子(RF)、抗链球菌溶血素O(ASO)、血沉(ESR)、免疫球蛋白均在正常范围,淋巴细胞干扰素混合培养A+B(TSPOT-TB)0。超声心动图提示大量心包积液(液性暗区16~30 mm),遂行心包穿刺引流血性液体400 ml(患者诉肉眼下像血液),无凝块,心包积液常规提示白细胞>1 000×106/L,未见肿瘤细胞;心包积液生化:白蛋白36 g/L,总蛋白56 g/L,腺苷脱氨酶(ADA)9 U/L,乳酸脱氢酶(LDH)200 IU/L。引流术后复查超声心动图提示微量心包积液(左室后壁液性暗区4 mm),症状明显好转出院。出院后2周患者再发胸痛、心悸、憋气不适,并逐渐加重,表现为发作频次增加,伴恶心,活动耐力下降,平走200 m后即出现胸闷、气短症状。复查超声提示心包积液较前增多,遂来京就诊于外院行超声心动图提示大量心包积液(液性暗区28~36 mm),主动脉CT血管造影:主动脉未见夹层或狭窄,肺内未见占位病变,右侧少量胸腔积液。复查ASO、ESR、RF正常范围,为进一步明确病因就诊于我院。患者自发病以来体重增加7 kg。近日诉偶有干咳。既往史:青霉素过敏史。个人史:生长于内蒙古自治区,城市生活。月经婚育史:未婚未育,否认性生活史。初潮2018年2月,行经天数5~6 d,月经周期不规律,周期1月余,第1次发现心包积液及穿刺后2周复查再次出现大量心包积液均处于月经期,入院时处于月经期。家族史:系领养,无法追述。入院查体:体温36.2℃,脉搏98次/min,血压97/47 mmHg,指氧(自然状态)99%。全身浅表淋巴结未触及肿大。双下肺呼吸音稍低,未闻及干湿啰音及胸膜摩擦音,心界增大,心律齐,心音稍低,各瓣膜听诊区未闻及病理性杂音。周围血管征(-)。腹平软,移动性浊音(-)。四肢无水肿。

1 分 析

本患者青少年女性,起病时间短,以反复大量血性心包积液为主要表现,并出现胸闷、气短、活动耐量下降等慢性心包压塞症状。心包积液的病因鉴别诊断如下:(1)感染性心包积液:结核性心包炎是国内最常见的心包积液原因之一,心包积液可呈血性,但此患者无结核常见的低热、盗汗、体重下降等症状,ESR正常,TSPOT-TB为0,ADA不高,因此结核无太多的明确临床证据。其他感染性心包炎如病毒性心肌心包炎等也常出现心包积液,但很少出现大量血性心包积液,此患者也无相关表现;(2)无菌性浆膜炎:此类病因在育龄期女性中更多见,原因与此类人群为免疫病高发人群相关,此种浆膜炎多为黄色渗出液,血性情况少,且患者常存在其他免疫病表现以及炎症指标升高,本例无免疫病临床常见表现;(3)创伤性心包积液:需要有明确的胸背部创伤史,或可能造成大血管撕裂的损伤,通常由于心脏附近血管破裂或撕裂造成,心包积液为血性,本患者虽然有坠落史,但不存在明确创伤,主动脉CT血管造影也无异常发现,因此心包积液不符合创伤引起;(4)肿瘤性心包积液:当心脏外部的肿瘤转移到心包时可出现心包积液,其中以肺癌最为常见,积液的性质为血性或非血性的渗出液,而原发于心包或心肌的肿瘤,包括血液系统肿瘤(淋巴瘤等)等也会造成心包积液,多为局部组织坏死所致,该积液多为血性,引流后可反复快速增长,本例尚未发现心包积液存在瘤细胞和肺内占位,需进一步排查肿瘤;(5)其他罕见情况:患者心包积液均出现在月经期,是否存在胸腔子宫内膜异位症(thoracic endometriosis syndrome),本病较罕见,多出现在育龄期女性,可出现血胸、气胸、咯血等症状,但罕见累及心包引起心包积液。患者月经来潮仅1年,非好发年龄,需进一步寻找证据。

SEE MORE

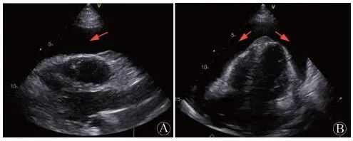
患者入院行心电图为窦性心律、律齐,肢体导联低电压表现。行胸部CT提示右侧胸腔大量积液,右肺膨胀不全,双肺散在索条、斑片、淡片影。床旁超声心动图见大量心包积液(图1 ),遂行心包穿刺置管引流术(经心尖入路),引流液为暗红血性液体,送检引流液常规:外观血性混浊,比重1.030,细胞总数1 852 020×106/L,白细胞总数995×106/L,单核55%,多核45%,黎氏试验阳性;引流液生化:总蛋白(TP)44 g/L,白蛋白(Alb)29 g/L,LDH 496 U/L,ADA 9.7 U/L,葡萄糖(Glu)4.7 mmol/L。同时,该引流液测得血红蛋白(Hb)69 g/L。同期外周血Hb 124 g/L,而引流后次日下降至90 g/L。引流3 d后查体发现左下肺呼吸音低,叩诊呈浊音,行胸部X线片提示左肺新发胸腔积液,未见气胸表现。

A:胸骨旁长轴平面;B:心尖四腔心平面

图1 患者入院后床旁超声心动图可见大量心包积液(箭头所示)

2 分 析

患者心包积液相关化验证实了其心包积液中Hb含量超过外周血的一半,高度提示患者心包积液来源于出血。而心包引流后患者短时间内新发穿刺点同侧胸腔积液,需怀疑心包积液流入胸腔所致,而此过程中血Hb进行性下降,是否有病变部位再次出血或出血加重的可能?明确左侧胸腔积液的量与性质,也会对明确诊断有很好的提示作用。但患者此时正处于月经期,又是否仅仅为短期内月经失血造成Hb下降而并非由于胸腔或心包的出血?此时应尝试通过标记红细胞示踪等检查手段判断是否存在活动性出血及其位置。同时,出血性的心包积液更应警惕患者外伤及肿瘤的可能,应作详细排查。

SEE MORE

患者肿瘤标记物:甲胎蛋白、癌胚抗原、糖链抗原19-9均在正常范围。糖链抗原125(CA125)326.0 U/ml。妇科超声提示右卵巢囊肿,生理性可能;盆腔少量积液。乳腺及腋窝淋巴结超声未见异常。予患者行左侧胸腔积液穿刺置管引流,总引流量约350 ml。引流液常规:血性混浊,比重1.023,细胞总数1 287 465×106/L,白细胞总数3 377×106/L,单核68%,多核32%,生化:TP 34 g/L,ADA 10.2 U/L,Alb 23 g/L,LDH 477 U/L,Glu 4.0 mmol/L。引流液中Hb含量37 g/L。此时患者Hb稳定在100~110 g/L。行肝血流血池断层显像:未见明显出血征象,进一步完善断层融合显像提示双侧胸腔积液,未见放射性分布,提示无活动性胸腔出血;右侧后胸膜增厚,炎症病变可能;左肺下叶不张;右心房明显增大;心包未见积液。

3 分 析

影像学检查表明心包穿刺后未发生新的心包积液。患者胸腔积液提示为血性积液,性质与心包积液相似,故考虑二者来源相同可能性大,不除外心包穿刺时心包积液引流入左侧胸腔。引流左侧胸腔积液约350 ml后未再有积液引出,而复查患者Hb为轻度降低。经核医学红细胞示踪方法未发现心脏附近活动性出血,考虑患者病变处出血量小于5 ml/h,或为间断出血。因此Hb降低的原因并不十分明确,可能因月经出血加检验误差所致。患者肿瘤标记物仅有CA125升高,CA125为来源于上皮细胞表达的糖蛋白,其升高可与女性卵巢肿瘤或浆膜炎相关,本患者妇科超声未见可疑恶性占位性病变,考虑其为心包积液所致。患者住院过程中多次行床旁超声心动图观察心包积液情况,期间并未发现心脏形态异常,而心包引流位置位于心尖部,影响体表超声四腔心切面的观察。但患者核医学断层扫描提示右心房明显增大,因此目前明确心脏结构最为重要,但体表超声因条件所限,对右心的观察经常不够清晰,可能会遗漏一些小的结构性改变。故拟给患者进一步行经食道超声心动图(TEE)检查,必要时行增强CT检查。

SEE MORE

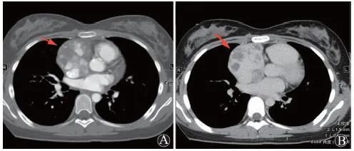
患者行TEE提示右心房及心包内可见多处中低回声团块影,最大位于近右房室沟,大小约49 mm×25 mm,其内血流丰富,并再次观察TTE,在非标准切面显示右房占位(图2 )。考虑肿瘤性病变可能性大。胸部增强CT见右心部分心包增厚,右心房、房间隔多发富血供占位,部分明显强化,部分成分强化不明显,不除外血栓形成(图3 )。PET/CT躯干断层显像:右心房增大,形态欠规则,密度不均匀,右心房、右心室及相邻心包脂肪间隙代谢不均匀异常增高,SUVmax 11.9,不除外恶性病变可能;T2椎体左后方肌间隙代谢增高灶,SUVmax 5.3,性质待定。颈胸椎旁肌肉MR增强及DWI成像均未见异常。

RV:右心室;LV:左心室;RA:右心房;LA:左心房。A:体表超声:标准心尖四腔心切面,右心房占位不明显;B:体表超声:非标准四腔心切面,可见右心房靠近房室沟部位团块性占位(箭头所示);C:TEE:非标准右心切面,可见右心房占位,其内回声不均匀(箭头所示)

图2 患者2019年11月5日超声心动图

A:右心房形态不规则,可见多发软组织密度占位(箭头所示);B:右房、房间隔多发占位,部分明显强化,部分强化不明显(箭头所示),不除外血栓

图3 患者胸部增强CT图像

4 分 析

患者TEE、胸部增强CT提示右心房、心包内多发占位,占位血供丰富,PET/CT评估该病变侵犯右心房、右心室及相邻心包脂肪间隙,SUVmax明显升高,高度提示为恶性病变,结合患者存在反复大量心包积液,临床表现符合心脏恶性肿瘤。虽然PET/CT发现T2锥体后方肌间隙异常,但结合局部MR增强结果,未提示远处转移,也未发现心脏外恶性占位。原发于心脏的恶性肿瘤极为罕见,约占所有原发性心脏肿瘤的10%,其中血管肉瘤最为常见,约占原发心脏恶性肿瘤的40%~76%[1,2]。心脏血管肉瘤好发于右心房及心包,相比儿童尤其是婴儿,成人的发病率更高。鉴别上主要需要与其他良性肿瘤(如最常见的黏液瘤)及转移性病灶相鉴别,血管肉瘤在心脏的影像学表现相对特异,包括常位于右心房、右房室沟等位置、形态表现为不均质的肿块,侵袭性强累及附近多部位结构,富血供且常伴有坏死性病灶等,确诊仍需病理。结合上述临床特点,考虑本患者为心脏血管肉瘤可能性大,有待病理证实。在获取病理方面,心包积液细胞学阳性率低,行心内膜活检会增加出血及转移风险,故在有手术机会的情况下首先推荐外科手术获取病理。血管肉瘤病理特异性的免疫组织化学染色包括:CD31、CD34和FⅧ阳性,波形蛋白局部阳性,ki-67变异性则较大(某些部位可高达90%);肌间线蛋白、肌动蛋白、myoD1、钙结合蛋白以及MelanA阴性[3]。

SEE MORE

本例患者无明确远处转移,有外科手术指征,家属求治意愿强烈,遂转入心外科行"心脏肿物切除+右心房重建术",术后病理:(右心房肿物、心包肿物)恶性梭形细胞肿瘤,伴大片坏死,结合免疫组化,符合血管肉瘤。免疫组化:CD31(+),CD34(+),ERG(+),SMA(+),AE1/AE3(-),D2-40(-),LCA(散在+),S-100(-),Ki-67(index25%)。

5 分 析

就此患者心脏原发血管肉瘤诊断明确。血管肉瘤预后主要取决于肿瘤的大小和手术切除的可能性,但因此病早期无症状,侵袭性强、疾病进展快等临床特性,发现时往往已经发展至晚期,且因其生长于心脏,手术本身难以充分切除肿瘤。故迄今为止,血管肉瘤患者的预后一直较差,多达80%的患者在诊断时已经出现远处转移[4]。即使可行手术切除的病例其平均生存期也仅为6~10个月左右,术后死亡的原因常为肿瘤的复发及远处转移,而非手术并发症。也因此有学者考虑为此类患者进行心脏移植是否可达到根治的效果。Li等[5]报道了原发心脏肉瘤不同治疗方法的预后区别,其中14例血管肉瘤患者接受了心脏移植,中位生存期9个月;另7例不可切除的血管肉瘤患者接受了化疗等姑息性治疗,中位生存期8个月,二者无统计学差异。除单纯手术治疗外,有学者报道,在一些尚未出现远处转移的患者中,术后应用局部放疗可根除肿瘤[4]。而心脏肉瘤术后辅助化疗的作用目前仍有争议,既往的个案报道疗效不一,有待后续进一步研究。

SEE MORE

本例提示, 短期内反复出现大量的血性心包积液应警惕恶性心脏肿瘤,因转移性心脏肿瘤更为多见,需要积极排查是否存在心外原发肿瘤。发生于右心的多发性不规则,富含血供的原发性肿瘤首先考虑最常见的血管肉瘤。在某些情况下受声窗所限,常规体表超声心动图尤其是床旁超声容易漏诊右心肿物,可进一步行TEE或心脏增强CT等其他影像学检查。血管肉瘤病情进展迅速,如何更早期地诊断和治疗以改善预后值得进一步探讨。

参考文献

[1] Basso C, Valente M, Poletti A, et al. Surgical pathology of primary cardiac and pericardial tumors[J]. Eur J Cardiothorac Surg, 1997, 12(5): 730-738.

[2] Burke A, Tavora F. The 2015 WHO Classification of Tumors of the Heart and Pericardium[J]. J Thorac Oncol, 2016, 11(4): 441-452.

[3] Jan Přeček, Zbyněk Tüdös, Martin Hutyra, et al. Primary cardiac angiosarcoma in multimodality imaging- Case report and review of literature[J]. Cor Et Vasa, 2016, 58(5): e478-e483.

[4] Movsas B, Teruya-Feldstein J, Smith J, et al. Primary cardiac sarcoma: a novel treatment approach[J]. Chest, 1998, 114(2): 648-652.

[5] Li H, Yang S, Chen H, et al. Survival after heart transplantation for non-metastatic primary cardiac sarcoma[J]. J Cardiothorac Surg, 2016, 11(1): 145.

本文来源

张博为, 薛毓琦, 方理刚, 等. 第68例:临床表现为血性心包积液[J]. 中国心血管杂志, 2020, 25(2): 180-182. DOI: 10.3969/j.issn.1007-5410.2020.02.018.

15岁女孩老喊肚子痛是不想上学?知道真相后妈妈大哭

“女孩么,有个痛经什么蛮正常,但不是生理期也老喊肚子疼,这不是存心不想上学吗?谁会想到竟是……”

女孩太“作”是不想上学?

家住浙江浙东某镇的女孩小芳(化名),今年15岁,身高170厘米,亭亭玉立。

但去年下半年来,“女儿总说‘胃’不舒服 ,描述为经常一阵阵的痛啊! 每次肚子痛,我们都带她到处看病,做了很多检查,配了不少药,但女儿每次吃完了药却称没什么用,肚子仍然经常痛。 ” 小芳父亲回忆说,青春期又是叛逆期,一般的撒撒娇,可以理解,但一而再,再而三地闹,十分宠女儿的父母也忍无可忍了,“我们一度认为女儿是故意闹腾,老说肚子痛,目的就是不想上学么!

直到半个多月前,小芳再次喊肚子痛得厉害额头冒出细细的汗珠,同时还发现其有低烧, 父母觉得有点不对劲,夫妇俩决定此次请医生全面检查下。然而,不出所料,影像学提示:在小芳右侧卵巢长有一个直径10厘米大小的恶性肿瘤。

医生与小芳及父母充分沟通手术方案后,为小芳施行了保留生育功能的腹腔镜下卵巢肿瘤分期手术。术后病理确诊了小芳得的是早期卵巢生殖细胞恶性肿瘤(卵黄囊瘤),术后还将开始化疗。

医生:这种卵巢肿瘤青睐少女

据浙江省人民医院妇科副主任、副主任医师王鑫炎介绍,卵巢恶性肿瘤属于常见的妇科恶性肿瘤,各年龄段均可发病,中老年人多见,但近年有年轻化的趋势。

而卵巢卵黄囊瘤又称内胚瘤, 是一种高度恶性生殖细胞肿瘤,约占卵巢恶性肿瘤的4%~7%,好发于青少年及年轻妇女,中位发病年龄约14岁。

没有性生活,就不会患妇科肿瘤?

“妇科肿瘤不是已婚女性的‘专利’,它是育龄期女性的常见疾病,可以生长在女性生殖器官各部位,要说在年轻未婚女性当中这几种妇科疾病:子宫肌瘤、卵巢囊肿、畸胎瘤等也有一定的发病率。”小康妹儿采访过的四川省第二中医医院妇科副主任医师曹亚芳医生说到。(来源:《没有性生活,就不会患妇科肿瘤?医生说:是时候讲一讲了!》)

而王鑫炎主任建议:小女孩也需要定期体检, 尤其是出现症状的时候可以选择加做肿瘤标志物,经腹/经直肠子宫附件B超或者MRI。

如果旁系三代内有亲戚曾患过相关乳腺、卵巢肿瘤 ,需要格外注意定期复查,甚至可以选做基因检测。

卵巢癌早期的五大症状 你一定要注意

卵巢癌起病隐匿,初期症状不明显,晚期死亡率高,所以一定要警惕早期信号。

01

腰腹部疼痛

卵巢癌病发者,邻近的组织会受到癌肿浸润或发生粘连,易引起腰腹部隐痛、钝痛。

02

外阴及下肢水肿

​随着卵巢癌肿的增大,盆腔静脉受压,会导致血流不畅,妨碍淋巴回流,时间久了就会出现外阴及下肢水肿。

03

胃肠道症状

卵巢肿瘤可能会压迫到周围的韧带,加上腹水刺激,早期时可出现胃肠道症状 ,如:不明原因的腹胀、便秘、反酸、胃部灼烧等,甚至短时间内身体消瘦。

04

月经异常

当卵巢癌破坏了正常组织,患者就会出现全身状态欠佳,月经异常的症状,如:阴道、子宫不规则出血,绝经后出血,月经过少或闭经等,也可能白带多或伴有鲜血。

05

性激素紊乱

卵巢是分泌性激素的重要器官,卵巢功能异常也会引起性激素紊乱,导致性早熟、月经失调、绝经后阴道出血等。

有的卵巢癌可能是睾丸母细胞癌,会分泌出大量的雄激素,导致女性出现男性特征。

专家提示:女性如果突然连续2周以上每天出现上述症状中的一种或几种 ,就应尽早向医生咨询,以排除卵巢癌的可能。

#今日互动#

当身体出现症状时,

你一般都是怎样处理的呢?

是马上去医院检查,

还是忍?

文章综合:钱江晚报(记者 张苗 通讯员 宋黎胜) BTV我是大医生 成都商报四川名医

编辑:Mkiki

图片来源:123rf

相关问答

请专家帮忙看看这个卵泡检测结果:右卵巢:35*20

[回答]病情分析:你好,根据你的描述,如果囊肿直径小于五厘米,又无证据提示肿瘤的话,多为功能性囊肿,可以密切随访,即2-3个月检查一次,以后再根据情况...若...

卵泡监测lf和rf是什么意思?

卵泡监测lf和rf是指的左侧卵泡和右侧卵泡的,因为女性有双侧的卵巢的,所以两侧都是有可能出现优势卵泡或者成熟的卵泡等,建议看看经期的变化,遵医嘱按疗程做卵...

便秘吃水果不管用该怎么办?

几乎每个人都有过便秘的经历,对大多数人来说,只是偶尔出现,很快恢复正常。但对于另一部分人来说,仿佛五行缺屎一般,长期受便秘困扰,影响生活质量和情绪。|...文...

标签:

相关阅读