严重可致癌!女子体内取出“活虫”,医生:因爱吃这道菜
春季天气逐渐回暖
就有不少人爱上这道菜
薄薄脆脆
入口即化,这一口可真爽了!
但是就是这样爽口的生鱼片
让深圳的程女士
险些失去了性命!
可不是吓唬你的
赶紧来看看怎么回事
腹部持续疼痛还恶心呕吐 女子差点成重症胰腺炎
深圳的程女士去年12月就查出了胆囊结石,但一直不当一回事。“又没啥症状,不痛不痒的。多喝水等它自己排出来就是了。”
本以为随着时间的流逝结石会自己消失,一天一天过去,就当程女士都忘了有胆囊结石这件事的时候,它毫无预兆地“发威”怒刷存在感。
今年3月24日,程女士突然出现腹部疼痛,同时伴随恶心、呕吐等表现 。持续的疼痛迟迟不能缓解,于是程女士来到了深圳市第三人民医院。
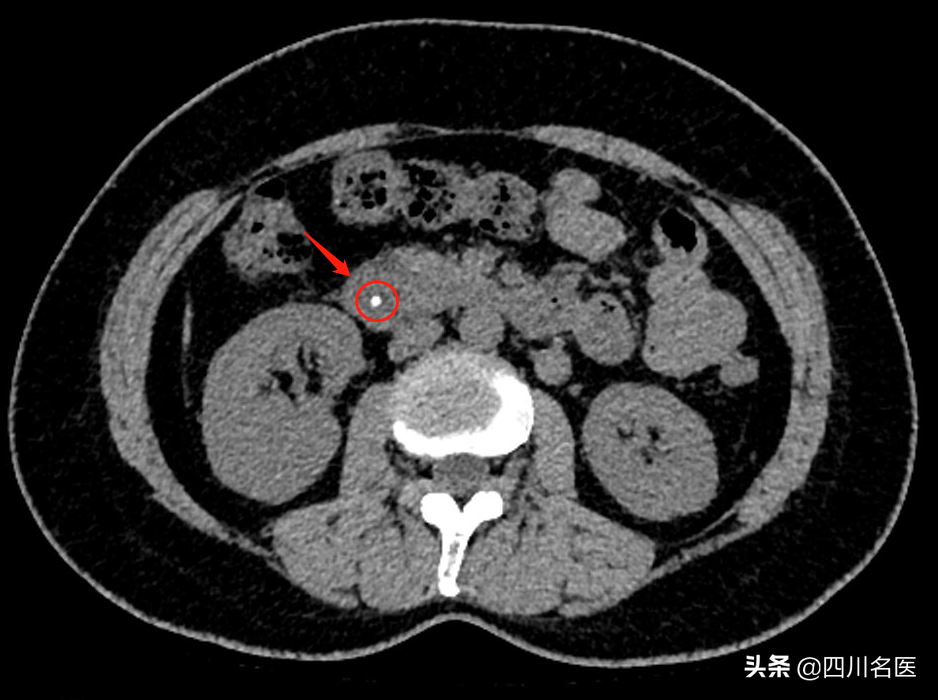
经过了CT检查,很快就找出了原因——胆总管卡着一颗大小约4mm的“石头” 。这个石头卡在胆汁与胰液的出口处,让程女士出现腹痛。
程女士的CT片子
医生表示,若再不进行治疗可能会出现进一步发展到重症胰腺炎 ,会有死亡的风险。
程女士经过核酸检测排除了新冠肺炎后,被收入深圳市第三人民医院肝胆外科进行了2天的保守治疗。随后,她的腹痛得到极大缓解,但堵住胆汁与胰液的石头依旧存在。
为了避免伴随而来的可能发生肝脏的损伤和胰腺炎,医生通过微创手术的方式将结石取出。3月27日,手术顺利结束。医生还在程女士的体内放置了一个“鼻胆管 ”,使胆汁可以直接引流到体外。
本以为程女士这样就可以康复
万万没想到,手术后第三天
医生又在程女士的身体里
有了新的发现!
体内突然发现异物 竟然是生鱼片中的“寄生虫”
就在术后第三天,一次查房过程中,医生发现程女士的鼻胆管管腔中有两个又扁又小的粉色“肉片”,长度1cm,在胆汁之中还会自由伸缩。
遇到这样的情况所有医生都高度警惕——程女士很可能不是单纯的胆囊结石,而这个会伸缩的“肉片”极有可能是一种寄生虫。
如果是这样患者便可能因为死去的寄生虫尸体,形成患者胆囊内的结石,结石落入胆总管,造成后续一系列的表现。
也就是说
程女士的“胆囊结石”
极有可能是“寄生虫尸体”
在体内变化形成结石……
经过病理科的检验也证实了医生的推断:这个会伸缩的“肉片”正是华支睾吸虫(肝吸虫),是一种存在于淡水鱼虾体内的寄生虫。
无端端的
为何会有寄生虫在鼻胆管管腔?
据程女士回忆,去年12月曾和家人一起吃过一次潮汕生鱼片。而她第一次发现胆囊结石,也恰恰是在去年12月。而就在这次病发前不久,程女士也曾一次性大量进食潮汕生鱼片。
医生推断——
程女士是吃了带有寄生虫而未经烹煮的鱼肉,寄生虫在胆道内繁殖或死亡,虫尸体就会停留在胆管里,当胆汁和虫尸体糅杂在一起,就形成胆结石。
如果不清除掉所有的寄生虫,程女士可能还会不断受到类似此次入院前的折磨,甚至还可能因为这样的病因继发恶性肿瘤。
找到了“元凶”,医院肝胆外科立刻请求感染科医生提供最佳的治疗方案。根据患者的病情与自身情况,感染科医生制定出以吡喹酮片口服为主的治疗方式。4月3日程女士出院了,医生嘱咐她不要再吃淡水生鱼片了。
这“肝吸虫”
竟有这么大“威力”?
我们来了解下它!
生鱼片里的寄生虫 可跟随宿主20-30年没感觉
肝吸虫喜欢“躲在”淡水鱼虾体内,随着人们吃生鱼片、未熟透的鱼虾等方式悄悄潜伏进人体。它们在人的肝胆管内寄生产卵并生产代谢产物,从而引发一系列并发症,堵塞胆管。
同时,它的生命力也很顽强,一旦在宿主体内住下来,可以一直跟随20-30年。
所以...
你以为你吃的是美味的生鱼片
其实可能吃下去的是寄生虫!
感染初期,人可能还没什么感觉,因为轻者几乎无症状;但严重的话会有腹痛、腹泻、消化不良、营养不良、疲倦乏力、肝区隐痛、肝肿大等临床表现,晚期可出现肝硬化和腹水,还可并发胆囊炎、胆管炎、胆管阻塞等,甚至引起肝癌。
如果宿主是孩子,还会严重影响生长发育,甚至导致侏儒症。
所以
还是不要冒险了!
关于吃“生鱼片”,还有几大误区
误区一:
酱油、芥末等调味料能杀死肝吸虫?不能!
肝吸虫的囊蚴对调味品的抵抗力比较强,调味品短时间内无法起到杀虫功效。专家指出,肝吸虫囊蚴在醋中可存活2小时,在酱油中可存活5小时。
误区二:
喝白酒可以杀虫?不能!
喝白酒不但杀不死肝吸虫,反而会加重对肝脏的负担。
误区三:
与别人共餐时有生鱼片,自己不食用生鱼片,会感染吗?
有这样的可能性。因为寄生在鱼肉上的肝吸虫囊蚴可污染到筷子,交叉污染到别的热菜。
躲开“寄生虫” 你得这么吃
1、至少煮沸5分钟才能吃
不吃生或未煮熟的淡水鱼虾。彻底煮熟方可进食,要保证至少煮沸5分钟以上再动筷子哦~
2、严格区分生熟食品用具
切生熟食品所用的刀和砧板要分开,不可混用;盛过生鱼的各种用具要洗刷干净。
3、不要用生的食物喂猫狗
不要用生的鱼鳞、鱼内脏、鱼鳃等喂狗、猫,洗鱼的生水也不要喂猪或其他家养动物。
4、勤洗手
同时也要注意手卫生,勤洗手!
来源:深圳市第三人民医院( szsdsrmyy)、深圳大件事(nandusz)
图片来源:123rf 编辑:离离
四川女子爱吃生食大脑长满虫卵…医生提醒:四川人最该防这种寄生虫
光是听到「寄生虫」 这三个字
都会有浑身皮痒的感觉
那如果身体里有寄生虫
会是一种什么感觉呢?
在此之前
小康妹儿觉得寄生虫
都已经是过去式了
但发生在身边的事实告诉我们
并非如此
有人就因为一个生活习惯
差点让自己的大脑被“侵占”
长满活的寄生虫……
「四川大学华西医院」 神经外科「张思医生」 介绍,这是上周刚会诊过的一个患者的故事——
3个月前 ,29岁的四川西昌姑娘小王(化名),逐渐出现后颈部疼痛不适 ,并且头颈部活动受限。
于是,她前往当地私人诊所就诊,结果被诊断为“颈椎病” ,并采取了改善循环、止痛等对症治疗后,疼痛有所好转。
可就在1个月前 ,小王的症状突然进一步加重。
疼痛蔓延到头顶部和双侧肩部,变成了一阵一阵地胀痛 ,严重时还伴有 恶心呕吐、左侧眼眶胀痛、左眼流泪、结膜水肿……
每次疼痛发作的持续时间不等,但发作间期,却没有任何不适。 后小王辗转多家医院,可治疗效果始终欠佳。最后,她来到了四川大学华西医院进行进一步治疗。
张思医生介绍到,通过小王的头颅增强MRI可以看到,她的脑中有许许多多的“小白点”↓
▲头颅增强MRI显示颅内多发“白色”强化病灶
这表示,小王根本就不是颈椎病!
张思医生解释道,这样的颅内多发强化病灶,是脑寄生虫感染的常见影像学表现 。再加上小王平时也有爱吃“醉虾、未充分煮熟的坨坨肉” 等美食的习惯。
因此,高度怀疑小王患的是一种叫“脑囊虫病” 的寄生虫感染。
张思医生介绍到,囊虫病,是由猪带绦虫的幼虫 (囊尾蚴)寄生人体所致的疾病。
这是一种比较生猛的寄生虫,让人闻风丧胆。 可侵入人体各种组织和器官,如皮下组织、肌肉以及中枢神经系统,比如引起大脑病变,其中脑囊尾蚴病非常严重,甚至危及生命。
01
这些习惯,小心“惹虫上身”!
四川人最要防的是它!
「四川大学华西医院」 感染性疾病中心「周凌云医生」 介绍到,有很多种寄生虫病,都是吃出来的。 比如常见的这4种:
蛔虫:四川人最容易遭!
是不是完全没想到?毕竟蛔虫都是小时候的记忆了……
周凌云医生表示,四川人最为常见的便是“蛔虫”感染 ,究其原因,则是因为——“洗澡泡菜”。
所谓“洗澡泡菜”,其实就是腌制1~2天即可食用的泡菜,形如“洗澡”,是四川人在生活中总结出来的一种泡菜腌制方法。
其口感爽脆、开胃下饭,非常适合大众口味,因而在四川地区广为流传,在各处的大小餐桌上,都能见到“洗澡泡菜”的身影。
但正是因为过短的腌制时间,让蛔虫虫卵无法被有效杀灭 ,因而食用后容易导致蛔虫感染。
蛔虫在肠道中生长可能引起肠梗阻 ,而喜欢四处“钻孔”的蛔虫 还会跑到胆道引起胆道蛔虫病,让患者承受“钻顶样疼痛”,被迫手术……
肝吸虫:不要生吃淡水鱼虾
在淡水鱼 的寄生虫中,比较常见的就是“华支睾吸虫”,即肝吸虫。
目前已证实的肝吸虫中间宿主:
鲤鱼、草鱼、鳊鱼、鲫鱼、大头鱼、土鲮鱼 等68种。
若人感染后,肝吸虫幼虫可游走进胆总管,虫体寄居于肝内胆管,在那里长期定居并发育为成虫,引起黄疸、胆管结石、胆管炎、肝炎 甚至肝硬化 和胆管癌 。
绦虫:存在于生肉中
绦虫成虫寄居于人体小肠,长得很像扁扁的面条,还可以长到几米长,连绵成串。
绦虫幼虫主要寄生在猪牛羊身上 ,吃了没熟的、或者生的含有绦虫幼虫的牛肉羊肉,或者生吃了没有经过检疫的猪牛羊肉,容易感染绦虫。
姜片虫:水生植物
莲藕、荸荠、菱角、茭白等水生植物中也可能有寄生虫。
姜片虫传染的媒介主要是水生植物的根和茎,如果生吃水生植物就容易感染姜片虫。
姜片虫可寄生于人体十二指肠和空肠,导致黏膜坏死、脱落、发生炎症、水肿或者溃疡,导致腹泻、腹痛、恶心和呕吐等消化道症状 ,严重者影响营养物质吸收,出现营养不良、贫血、消瘦等,重症患者可致死。
总的来说——
● 食源性寄生虫病 往往是因为生食和半生食肉类食品所致;
● 土源性及水源性寄生虫病 与直接接触自然环境有关;
● 虫媒性寄生虫病 是人类被节肢动物叮咬后,除了引起局部损伤、过敏外,还可能会被传染其他更为严重的疾病,如登革热、疟疾等。
02
感染寄生虫后,自己会有感觉吗?
周凌云医生表示,寄生虫病的临床表现多种多样,主要以腹痛、腹泻、发热、贫血以及瘙痒为主要特征 ,具体临床表现与寄生虫类型有关。
● 如成人体内有蛔虫 可不出现任何症状,而儿童感染时则会出现咳嗽、哮喘、发热、腹痛、烦躁等症状。
● 当钩虫 寄生在人体时,会出现贫血、营养不良、腹痛、腹泻、皮炎等症状。
● 人体被弓形虫 寄生时,免疫功能正常的人常无症状,可仅出现淋巴结肿大的情况。但免疫功能异常的人群被弓形虫感染,可能出现高热、肌肉酸痛、皮疹等症状。
● 寄生虫脑病 则可能会引起头痛、癫痫、精神行为异常等,甚至出现意识障碍,危及生命。
所以,当小康妹儿看到网上还有人为了减肥,甚至选择主动被寄生虫感染,简直惊掉了下巴!
周凌云医生提醒:千万不要尝试这种猎奇瘦身法,危害比你想象的多太多!
03
怀疑有寄生虫,该去哪里检查?
如果出现上述症状,且存在生食、自然疫源地旅行史,则需要高度怀疑寄生虫感染。
建议至当地三甲医院 或当地公共卫生临床医疗中心(传染病医院) 进一步完善相关检查。如粪便查虫卵、脱落的虫节,血清查寄生虫体或通过二代测序检测出相应寄生虫的基因情况等。
尽早地清除寄生虫感染 ,才可以把其带来的损害及风险降至最低。
04
远离寄生虫,做好这几步!
避免蚊虫叮咬
虫媒传染病发生和流行的危险性很大。在日常生活中要尽量避免蚊虫叮咬,可使用驱蚊水等驱蚊产品 降低被叮咬的几率。
如不慎被蚊虫叮咬后,出现局部红肿,甚至全身症状,需立即就医 ,寻求专业帮助。
避免直接接触自然环境中的水源及土壤
在登山或者旅行途中,有不少游客喜欢直接与大自然亲密接触,比如进入野生水域游泳、在浅滩捕捞虾蟹等……
殊不知,某些微小却充斥着“心机”的寄生虫,正从身上的皮肤、黏膜上悄悄钻入 ,然后随着血液漂流至“宜居之地”。
有人就是因为游野泳呛水,导致阿米巴虫从鼻子进入颅内,最后死亡。
切记:不要游野泳,不要赤脚行走或下田 ,建议大家“全副武装”,保护好自己不被寄生虫入侵,避免感染土源性及水源性寄生虫病。
保证健康良好的饮食习惯
周凌云医生表示,以下4点需重点关注:
1、不生食和半生食肉类食品;
2、在旅行途中即使再累再渴,不要直接饮用所谓清澈的山泉水。
3、处理食材时,生熟案板一定要分开 ,避免交叉感染,新鲜瓜果一定要洗净 后再食用,烹调时务必确保食物彻底烧熟煮透;
4、不要冒险尝试猎奇的饮食习俗。 如生食动物血液、内脏或食用野生老鼠、蛇肉的习惯……
上面那些不健康的饮食习惯
都极易让你
深陷寄生虫病痛苦的深渊
大家千万要牢记!
「本期科普医生」
文/编辑 | 豆豆 制图 | 云云
监制 | 清清
审核 | 蓝岚
图片来源 | 创客贴、123rf等
本文为「四川名医」原创,未经授权禁止全文或部分转载。
相关问答
关于血清免疫球蛋白检查有什么意义?的问题_千问健康
关于血清免疫球蛋白检查有什么意义?的问题_千问健康
假如没有外援,韩国和日本发生战争,韩国能打败日本吗?
导语:在没有外援的情况下,韩国根本不是日本都对手,或者说双方的实力不是在一个层面的。不否认韩国的军事实力在亚洲或者整个世界来说,都是排得上号的,然而...韩...
垃圾成灾,应该怎么治理?
利用废放射性同位素是经济可行的方法。进行辐射处理时,只要把辐射源密封好,如放置在壁厚为1.5米的混凝土或其他贮器内,以及辐射剂量不超过上述安全值,就不会...
