射频消融(RFA)治疗结直肠癌肝转移
患者,男性,46岁。
主诉:
确诊结肠癌肝转移9月余,术后近6月
现病史:
患者2014-6月余前因“体检发现肝内肿物1周”来我院住院。
影像学资料:
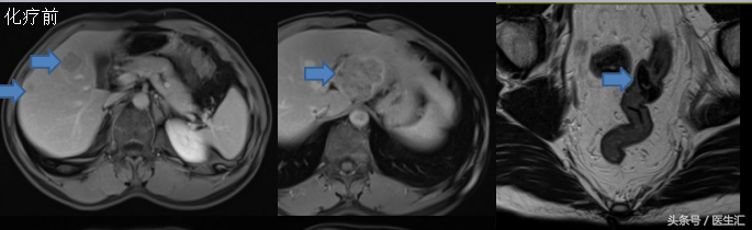
肝脏、盆腔MRI:乙状结肠癌,侵犯肌层,未明显突破浆膜面,局部系膜小淋巴结显示,肝脏多发转移瘤,较大者位于左叶Ⅲ段,肝脏Ⅳ、Ⅷ血管瘤。
病理学资料:
肠镜病理:(乙状结肠距肛15厘米)腺癌,(乙状结肠距肛30厘米)管状腺瘤,低级别上皮内瘤变。
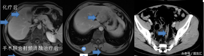
化疗前
化疗后
手术联合射频消融后
术后病理:
乙状结肠溃疡型高分化腺癌,肿瘤大小:2.5*37.5px。浸润至浆膜下,侵犯神经。切缘阴性。淋巴结:见癌转移(3+/12)另见癌结节2枚。
“左肝外叶”切除标本大小16*8*112.5px,剖面见一肿块,大小3.2*55.00000000000001px,另见一灰白结节,大小0.9*17.5px,镜示高分化腺癌,肝脏切缘阴性。
不瞒你说,做肝部射频消融可能会引起不适,切勿大意
肝脏如果患有囊肿、息肉等相关疾病时,肯定会造成肝脏组织上的细胞分化以及重组出现问题,并且随着病情有所加重的情况下,肯定会导致肝脏的功能运转出现问题。因此,在患有肝脏疾病的情况,可通过射频消融的方式,更好地针对肝脏多余的息肉以及囊肿做相关的治疗后,从而取得有效治愈的效果,后期就不用担心肝脏组织会持续出现异常损害。
一般情况下,肝部在进行射频消融治疗期间,肯定会造成肝区组织的明显不适。在射频消融这个过程中,肝区组织也会出现明显的疼痛性,并且这种疼痛影响,也会造成身体上的明显受损。因此,在进行射频消融这个过程中肯定是遭罪的。通常在进行射频消融之后,会因为肝部的不适且对身体造成相关的影响,会暂时使患者食欲下降,并容易出现消瘦症状。所以,身体上的恢复肯定需要一定的时间。
尽管肝部射频消融属于物理性治疗的方式,对于身体所造成的损害虽然不算特别大。但为了保证肝部组织不会出现异常性的刺激或影响,那么在患有肝脏疾病期间,必须要根据个人病情的不同。进行有效治疗之后,就能够使疾病情况全面改善并治愈。每个人的病情会有不同,所以在后期治疗期间,对于具体方式的选择肯定会因人而异,并不是每个人都需要进行射频消融。
在了解到肝部射频消融期间,会引起疼痛不适和身体上的其它影响。在进行射频消融这个过程中,身体上的遭罪情况肯定要有心理准备。并且,在射频消融之后,为了让身体可以快速好转并恢复正常,自然要从日常饮食习惯、作息以及劳作行为等多个方面做出调整和改变,更好地保证身体上的恢复情况不会遭受任何影响,从而快速取得恢复性效果。
总而言之,肝部射频消融肯定会使身体有所遭罪。毕竟射频消融之后会引起肝部组织出现疼痛症状,并且随着身体上出现疼痛不适的影响下,食欲方面也会有下降,并影响到进食的效果。因此,在进行肝部射频消融这个过程中,必须要认真执行并做好细节性的护理。才能使身体快速恢复的同时,也能够避免射频消融的行为一直进行。
觉得本文有用,欢迎点赞或推荐 给朋友,并关注【医联媒体 】。
相关问答
谁知道ASO,RF,CPR,的正常值范围是多少?–960化工网问答
RF呈阳性,可作为预后判断的辅助指标,阳性者疗较差且并发症多.B.其它自身免疫性疾病,如SLE,干燥综合症,硬皮病及慢活肝,RF也可呈阳性.C.某些慢性感染性疾病...
肝射频消融术后坏死肝组织哪里去了?
坏死的当然是代谢吸收了。坏死的当然是代谢吸收了。
左肝占位,病检结果:虑神经内分泌肿瘤_千问健康
病情描述:我老公昨天才从华西医院肝脏血管外科出院,当时因右上腹疼痛入院。入院检查:皮肤巩膜无黄染,腹部平坦,未见胃肠型,腹部静脉未见曲张。全腹柔软,未触及包...
肝做射频消融能好几年?_千问健康
肝做射频消融能好几年?_千问健康
胆囊癌转移肝脏9厘米,射频消融
[回答]病例分析:症状:肝癌确诊!根据您的描述考虑:肝癌没有转移的考虑手术治疗!有转移的考虑放化疗治疗!意见建议:考虑放化疗治疗!
肝脏射频消融术3月为什么还疼痛_千问健康
原因可能为:1、不知道最后一次介入多久了,介入可能导致肝区疼痛及发热,但一般不会超过一周。2、肿瘤区炎症,建议查一下血常规,看白细胞及中性粒细胞...
哪位大神给指条路,朋友直肠癌转移肝上了,半年时间。太年轻了??能治吗???
直肠癌术后化疗后复查肝脏转移,可以考虑药物化疗;如果患者身体状况不好,肝脏转移瘤可以选择介入栓塞、射频消融、粒子植入或靶向药物治疗等方法。直肠癌术后...
肝有异常信号影_千问健康
肝左外叶大部分术后缺如,术区局部见多枚结节状长T1短T2信号影,残肝表面呈波浪状,实质质地粗糙。肝右叶门脉右支旁见约1.4*1.9cm结节状稍长T1稍长T异常信号影,DW...
肝脏肿瘤射频消融术费用大概多少钱
[回答]。肝脏射频消融术费用是按照次数算的,一般一次为3000左右
肝脏射频消融后疼痛怎么办_千问健康
肝脏射频消融后疼痛怎么办_千问健康
